Orders Logout

Media Picture ID Case Number Case Name From Is Liked Status Created Changed Type
7026 Fonus Transport Bergslagen/värmland
transport.varmlandbergslagen@fonus.se
2024-07-04 10:24:28 2024-07-04 10:24:34
7025 Fonus Transport Bergslagen/värmland
transport.varmlandbergslagen@fonus.se
2024-07-04 09:51:05 2024-07-04 09:51:08
7024 Fonus Transport Sthlm Transport
expeditionen.sthlm@fonus.se
2024-07-04 09:18:11 2024-07-04 09:18:19
7023 Gällivare begravningsbyrå
info@gallivarebegravningsbyra.se
2024-07-04 08:42:18 2024-07-04 08:42:23
7022 Gällivare begravningsbyrå
info@gallivarebegravningsbyra.se
2024-07-04 08:41:26 2024-07-04 08:41:30
7021 Gällivare begravningsbyrå
info@gallivarebegravningsbyra.se
2024-07-04 08:40:25 2024-07-04 08:40:29
7020 Fonus Begravning Begravning
transport.goteborg@fonus.se
2024-07-03 16:21:31 2024-07-03 16:21:35
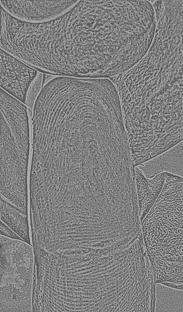
Picture ID: 7026
Case Number:
Case Name: My Mogren
From: Fonus Transport Bergslagen/värmland transport.varmlandbergslagen@fonus.se
Status:
Created: 2024-07-04 10:24:28
Changed: 2024-07-04 10:24:34
Type: Left Fingerprint
Picture ID: 7025
Case Number:
Case Name: My Mogren
From: Fonus Transport Bergslagen/värmland transport.varmlandbergslagen@fonus.se
Status:
Created: 2024-07-04 09:51:05
Changed: 2024-07-04 09:51:08
Type: Left Fingerprint
Picture ID: 7024
Case Number: 492064
Case Name: Ulrica Nilsson
From: Fonus Transport Sthlm Transport expeditionen.sthlm@fonus.se
Status:
Created: 2024-07-04 09:18:11
Changed: 2024-07-04 09:18:19
Type: Left Fingerprint
Picture ID: 7023
Case Number:
Case Name: Anna Kaisa Nilsson 3
From: Gällivare begravningsbyrå info@gallivarebegravningsbyra.se
Status:
Created: 2024-07-04 08:42:18
Changed: 2024-07-04 08:42:23
Type: Left Fingerprint
Picture ID: 7022
Case Number:
Case Name: Anna Kaisa Nilsson 2
From: Gällivare begravningsbyrå info@gallivarebegravningsbyra.se
Status:
Created: 2024-07-04 08:41:26
Changed: 2024-07-04 08:41:30
Type: Left Fingerprint
Picture ID: 7021
Case Number:
Case Name: Anna Kaisa Nilsson 1
From: Gällivare begravningsbyrå info@gallivarebegravningsbyra.se
Status:
Created: 2024-07-04 08:40:25
Changed: 2024-07-04 08:40:29
Type: Left Fingerprint
Picture ID: 7020
Case Number: 490816
Case Name: torsten dahl
From: Fonus Begravning Begravning transport.goteborg@fonus.se
Status:
Created: 2024-07-03 16:21:31
Changed: 2024-07-03 16:21:35
Type: Left Fingerprint