Orders Logout

Media Picture ID Case Number Case Name From Is Liked Status Created Changed Type
10358 B Tornkvist Begravningsbyrå
karlskrona@tornkvists.se
2026-03-23 14:51:45 2026-03-23 14:51:48
10357 A Fonus Begr Begr
malmo@fonus.se
2026-03-23 14:44:28 2026-03-23 14:44:28
10356 A Fonus Begravning Begravning
kalmar@fonus.se
2026-03-23 14:32:33 2026-03-23 14:35:30
10355 A Fonus Begravning Begravning
kalmar@fonus.se
2026-03-23 14:31:15 2026-03-23 14:39:33
10354 A Fonus Begravning Begravning
kalmar@fonus.se
2026-03-23 14:30:14 2026-03-23 14:30:15
10353 A Wallins Begr.
info@wbb.se
2026-03-23 11:55:15 2026-03-23 11:55:18
10352 A Wallins Begr.
info@wbb.se
2026-03-23 11:54:01 2026-03-23 11:54:03
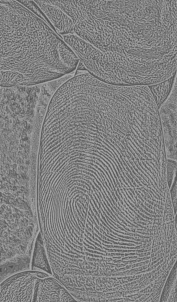
Picture ID: 10358 B
Case Number: Knut Gunnar Petersson
Case Name: 41126062
From: Tornkvist Begravningsbyrå karlskrona@tornkvists.se
Status:
Created: 2026-03-23 14:51:45
Changed: 2026-03-23 14:51:48
Type: Right Fingerprint
Picture ID: 10357
Case Number: 560500
Case Name: Jan Rochester
From: Fonus Begr Begr malmo@fonus.se
Status:
Created: 2026-03-23 14:44:28
Changed: 2026-03-23 14:44:28
Type: Left Fingerprint
Picture ID: 10356 A
Case Number: 562096
Case Name: 562096
From: Fonus Begravning Begravning kalmar@fonus.se
Status:
Created: 2026-03-23 14:32:33
Changed: 2026-03-23 14:35:30
Type: Right Fingerprint
Picture ID: 10355 A
Case Number: 562096
Case Name: 562096
From: Fonus Begravning Begravning kalmar@fonus.se
Status:
Created: 2026-03-23 14:31:15
Changed: 2026-03-23 14:39:33
Type: Right Fingerprint
Picture ID: 10354 A
Case Number: 562096
Case Name: 562096
From: Fonus Begravning Begravning kalmar@fonus.se
Status:
Created: 2026-03-23 14:30:14
Changed: 2026-03-23 14:30:15
Type: Right Fingerprint
Picture ID: 10353 A
Case Number: 336087
Case Name: Jan ingvar vager
From: Wallins Begr. info@wbb.se
Status:
Created: 2026-03-23 11:55:15
Changed: 2026-03-23 11:55:18
Type: Right Fingerprint
Picture ID: 10352 A
Case Number: 336087
Case Name: Jan ingvar vager
From: Wallins Begr. info@wbb.se
Status:
Created: 2026-03-23 11:54:01
Changed: 2026-03-23 11:54:03
Type: Right Fingerprint